犬の子宮・膣の腫瘍について
病気の概要
犬の子宮および膣に発生する腫瘍は、主に中~高齢の未避妊雌犬に認められます。発生頻度は全腫瘍の中では高くありませんが、雌性生殖器由来腫瘍の中では比較的多い疾患です。
病理学的には、良性の平滑筋腫が最も一般的で、その他に平滑筋肉腫、腺癌、線維肉腫、血管肉腫、リンパ腫などの悪性腫瘍や線維腫、脂肪腫といった良性腫瘍が報告されています。
病態
平滑筋腫は、子宮・膣壁を構成する平滑筋細胞の過形成的増殖によって形成されます。
特にエストロゲン(卵胞ホルモン)の刺激を長期間受けた未避妊雌犬に発生しやすく、ホルモン依存性腫瘍と考えられています。
そのため、避妊手術(卵巣摘出)を受けた犬では発生率が極めて低いとされています。
腫瘍は単発または多発性に発生し、子宮体部・子宮頸部・膣壁などに認められます。腫瘍径が大きくなると、周囲臓器(膀胱・直腸など)を圧迫し、排尿・排便障害を引き起こすことがあります。また子宮蓄膿症が併発することもあります。
症状
- 陰部からの血性・粘液性分泌物
- 外陰部からの腫瘤の突出(特に膣原発の場合)
- 頻尿、排尿困難、便秘
- 腹囲膨満、腹部腫瘤触知
平滑筋腫自体は良性で転移は稀ですが、増大による圧迫症状や二次感染が問題となります。
一方、平滑筋肉腫では局所浸潤性が強く、遠隔転移(肺、リンパ節など)の報告もあります。
診断
診断には以下の検査を組み合わせて行います。
- 身体検査・直腸・膣内触診:腫瘤の位置・可動性・大きさを評価。
- 画像検査:腹部超音波検査・X線検査・CTによる腫瘍位置と周囲臓器との関係評価。
- 細胞診/組織生検:平滑筋由来細胞(紡錘形核・束状配列)を確認。免疫染色で診断確定。
- 血液検査・ホルモン検査:全身状態や内分泌性変化を評価。
治療
治療の第一選択は外科的切除です。
- 子宮または膣壁に限局した腫瘍は、卵巣子宮摘出術(OHE)あるいは腫瘍摘出+OHEを行うことで治癒が見込めます。
- 膣内に発生した場合には、膣部分切除術(partial vaginectomy)または外陰部腫瘤切除を併用します。
- 腫瘍が巨大化し、膀胱や尿道に波及している場合には、拡大切除(total vaginectomy)、尿路変更術を検討します。
平滑筋肉腫や悪性例では、腫瘍周囲の広範囲切除が推奨され、術後は画像モニタリングによる再発・転移の監視が必要です。
予後
- 平滑筋腫:完全切除で予後良好、再発はほとんどありません。
- 平滑筋肉腫:悪性度により再発・転移が起こる場合があり、定期的な胸部レントゲンや腹部超音波による経過観察が必要です。
早期診断・早期手術が実施されれば、多くの症例で長期的な良好経過が得られます。
では今回、当院で膣部に発生した平滑筋腫を外科的に切除した患者様をご紹介します。
患者様は小型犬、11才、未避妊メス、ワクチンの予防接種を主訴に当院を受診しましたが、腹部触診で下腹部に大きな塊が触知されました。
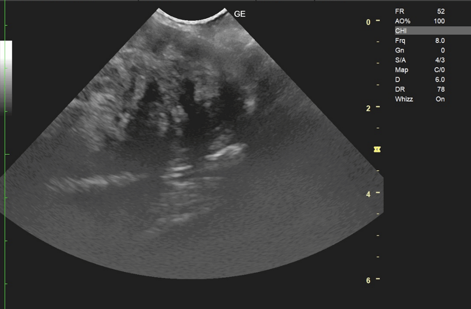
腹部超音波検査にて膣部に境界明瞭な充実性の腫瘤と子宮の液体貯留が認められました。超音波ガイド下の針生検では間葉系細胞が採取されました。

超音波検査、針生検により平滑筋腫が疑われました。飼い主様には念の為にCT検査のためのご紹介をご提示しましたが希望されず、試験開腹による摘出手術を行いました。

下腹部の腫れは肉眼で確認できるほどの大きさでした。

卵巣子宮の摘出後、膀胱を反転させ膣腫瘤にアプローチしました。膣腫瘤は境界明瞭であり膣筋層からの剥離も容易でした。摘出後切開した膣を縫合し、常法に従い閉腹しました。

術後の病理組織検査では、平滑筋腫であり完全切除と診断されました。術後も良好に経過しております。
まとめ
- 中高齢で避妊手術を受けていない雌犬では、定期的な腹部エコー検査が推奨されます。
- 陰部からの出血やしこりが見られた場合は、早期に検査を受けることで治療成績が大きく向上します。
- 良性であっても放置すると腫瘍が非常に大きくなり、周囲臓器の圧迫による排尿・排便障害を起こすため、外科的治療が根治への近道です。
